BLOG
ブログ
BLOG
ブログ
こんにちは🦷
スマイルプレイス本郷矯正歯科です!
厳しい夏の暑さも落ち着き、朝晩はだいぶ過ごしやすくなってきましたね🍂
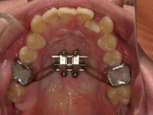
さて今回はMSEについてお話しします。
MSEとは、上顎を広げるための装置です。
正式には「Maxillary Skeletal Expander)」といいます。

・真ん中にネジ(スクリュー)があり、それを回すことで拡大力を発生させます。
・装置の基部がミニスクリュー(4本程度)で上顎骨(口蓋骨)に直接固定されます。
・骨に固定するため、歯の傾斜を抑えて上顎骨そのものを広げることができます。



MSEは以下のようなケースに使用されます。
・上顎が狭く、交叉咬合(反対咬合)になっている
・歯列がV字に狭まっている
・鼻腔が狭く、鼻呼吸の改善を期待したい
・成長期を過ぎた成人でも上顎を拡大したい
1:CTなどで骨の厚みや位置を確認
2:MSE装置を設置(局所麻酔下でミニスクリューを埋入)
3:数日後からネジを1日1〜6回回して拡大を進める
4:拡大終了後、数か月間はそのまま固定して骨の安定を待つ



・成人でも骨拡大が可能(従来は外科手術が必要だったケースにも対応できる)
・歯への負担が少ない
・鼻腔容積の増加による呼吸の改善効果も報告あり
・上顎の形態改善により、顔貌バランスの改善が期待できる
・ミニスクリュー埋入時に軽い痛みや腫れが出ることがある
・拡大量によっては正中離開(前歯のすき間)が一時的にできる
・骨の硬い人では拡大が難しい場合もある
・術後は清掃が難しいため、丁寧なブラッシングや洗浄が必要
スマイルプレイス本郷矯正歯科では、
初診相談はいつでも承っておりますのでお気軽にお相談ください。
歯列矯正は、難易度が高く専門性が求められる治療です。
専門医による治療を受けることをおすすめいたします。
当院では徹底的な滅菌管理のもと治療を行なっています。
歯医者さんが初めてのお子さまも安心して治療を受けていただけるようスタッフ一同サポートいたします!
*****************************************
福田 雄
🎖歯学博士
🎖日本矯正歯科学会 認定医
福田 萌子
🎖歯学博士
🎖日本矯正歯科学会 認定医
在籍
******************************************
© SMILE PLACE HONGO ORTHODONTIC OFFICE